Where Smiles Are Made!
Smile Big. Laugh Often.
Pediatric Dentistry That's Actually Fun! โข Boerne, TX
5-Star Reviews
Board Certified
Arcade & Games
Painless Technology
Prizes Every Visit
Kid Approved
Every visit is an adventure they'll actually look forward to!
Your Trusted Pediatric Dentist in Boerne, TX โ Serving families throughout the Texas Hill Country with exceptional children's dental care for over 30 years.
Arcade games, movies, massage chairs & slushies make every visit feel like a party!
Board-certified pediatric dentist with special training just for children's needs.
Revolutionary painless injection tech - kids don't even know they got a shot!
Convenient appointment times that work with your family's busy schedule.
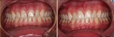
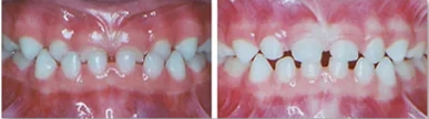
At The Kid's Place, we believe in proactive pediatric dental care. Because no child wants to undergo a tooth extraction, Dr. Wilkerson specializes in moving teeth instead of removing them.
With our early interceptive orthodontic treatment, we address tooth crowding and monitor facial development during the most critical growth years. Identifying orthodontic concerns early helps ensure your child develops a healthy, beautiful smile โ and can often reduce or even eliminate the need for braces down the road!
The Kid's Place is exactly what our name says โ a dental office designed specifically for kids! Our pediatric dental practice in Boerne, TX is committed to providing exceptional care in an environment children actually enjoy.
Let's be honest: our team are all big kids at heart! We're always smiling, laughing, and making sure every child feels comfortable and excited about their dental visit. Our goal is to create a fun, educational, family-friendly experience where kids leave happy and can't wait to come back!
Your trusted pediatric dentist in Boerne, TX for over 30 years
At The Kid's Place Pediatric Dentistry and Early Orthodontics, Dr. Michael Wilkerson and his team love helping young patients develop optimal dental health and beautiful smiles that last a lifetime. Our skilled team offers more than 30 years of experience treating infants, children, and teens in Boerne, TX and beyond!
Dr. Wilkerson supports the American Academy of Pediatric Dentistry (AAPD) and the American Dental Association (ADA)'s concept of a "Dental Home" โ the ongoing relationship between the dentist and the patient that is inclusive of all aspects of oral health care and delivered in a comprehensive, continuously accessible, coordinated, and family-centered way.
At The Kids Place, our mission is to help children grow up with beautiful, cavity-free smiles that instill confidence, promote success, and enrich life!
At our Boerne, TX dentist office, we focus on finding the root cause when dental issues arise, not just treating the symptoms. In addition to prevention, we'll gently treat existing cavities, restoring diseased teeth back to health.
At your regular preventive visits, our dental team will monitor dental eruption and guide erupting teeth to their normal position by interceptive orthodontic techniques. We'll also look for concerns that affect oral and facial development in a negative way, and redirect the growth back toward normal by addressing and treating the cause.
In addition to pediatric dental care, we offer early orthodontic treatment, assessment of facial growth and facial aesthetics, and evaluation of tongue and oral muscle function, with a focus on airway and proper nasal breathing.
Correct nasal breathing along with correct oral muscle function leads to healthier children, straighter teeth, beautiful smiles, and attractive faces.
Dr. Wilkerson and his team pride ourselves on providing positive experiences for our kids. We help parents choose effective procedures and management strategies for their child for all dental treatment.
We have created a warm, fun environment in which your child will receive the care they need. We want our kids to leave healthy, happy, and smiling! Every one of my team members loves working with kids! They are dedicated to providing a great patient experience and love explaining things in "kid-friendly terms" so it does not cause anxiety or fear.
Our goal is to develop a long-lasting relationship with the children and their parents to educate and create life-long, positive dental habits.
At The Kids Place, we offer multiple levels of sedation for our younger patients including laughing gas, oral conscious sedation, and even general anesthesia when necessary. Your child's comfort and safety is our top priority.
Advanced care tailored just for your little ones

Dr. Wilkerson has completed extensive training in early orthodontic treatment and pediatric sleep apnea. With early orthodontic assessments, he helps patients optimize healthy breathing, reduced crowding, and aligned, confident smiles.
Learn More
Our team offers in-office sedation dentistry services to ensure our young patients feel safe and comfortable receiving dental treatment. Dr. Wilkerson's goal is always to create a positive experience for each patient. They'll leave our office smiling!
Learn More
We monitor children's facial growth to ensure their smile is developing normally, especially during the first few years of life. Assessments promote a lifetime of optimal facial esthetics, facial symmetry, bite function, TMJ function, breathing, and overall oral health!
Learn MoreSay goodbye to dental anxiety forever
Dr. Wilkerson is proud to offer fast, painless electronic injections with DentalHiTech, known for its revolutionary, highly effective anesthesia technique. DentalHiTech allows our team to offer an unmatched level of comfort and precision for every patient.
Our DentalHiTech system delivers numbing so gently that most kids have no idea they even got a shot.
Top dental services for infants, kids, and teens in Boerne, TX and beyond!
At The Kids Place, we offer top dental services for infants, kids, and teens in Boerne, TX and beyond! Our comprehensive service list is delivered by a skilled pediatric dental team with more than 30 years of experience. We take pride in our inviting atmosphere and skilled team. Dr. Wilkerson and his team will help restore your child's best oral health and happiest smile!
At The Kids Place, our primary goal as a pediatric dental team is to provide quality prevention services for a lifetime of happy, healthy smiles. Prevention is the best way to try to maintain a healthy smile and avoid costly dental procedures in the future.
We recommend bringing your child by their first birthday
Regular cleanings and examinations
Gentle care for our youngest patients
Help anxious children get comfortable
Protective coating for molars
Natural-looking cavity treatment
Fluoride to strengthen enamel
Stop cavities without drilling
Help with thumb sucking
Track development for optimal results
Identify cavity risk factors early
Our pediatric dental office offers top prevention and education services to our young patients in Boerne, TX and beyond. From proper brushing techniques, dietary recommendations, and regular dental visits to dental sealants and mineral treatments to help prevent tooth decay, Dr. Wilkerson and his staff strive to ensure each patient's smile stays healthy from the inside out.
We're here to help your child feel at ease during their dental visit. Our warm, inviting office provides a relaxing environment where your child can feel comfortable and calm, and our waiting area is designed to create a soothing atmosphere for kids and parents.
Facial growth assessment and monitoring are crucial in ensuring normal development and addressing potential issues as early as possible. Just like how pediatricians track overall growth, monitoring milestones in facial growth is equally important, particularly during the first two years of life.
While change might slow down as time progresses, it continues rapidly throughout adolescence. Dr. Wilkerson will closely follow facial growth and development as it impacts various aspects such as facial symmetry, aesthetics, a full smile, normal bite, TMJ function, optimal airway mechanics, and overall oral health.
By age 8, facial development is around 60% complete, and by age 12, it reaches approximately 90% completion. This makes childhood and adolescence the prime period for orthodontic treatments, as the growth rate and the ability of the facial structures to change are at their peak. Identifying and addressing problems or potential issues during this stage can significantly ease and expedite patient treatment.
The Kid's Place offers Caries Risk Assessments to help our patients prevent dental cavities. These assessments allow Dr. Wilkerson to identify any present risk factors that may lead to dental decay, and provide customized education and guidelines on prevention. By finding the factors that lead to the cavities, the process of eliminating those factors will decrease the number of fillings needed, decreasing expense and pain in the future.
A caries risk assessment places each child into one of three categories: low, moderate, and high. The guidelines are then broken down into each category and based on the child's age. These guidelines assist in establishing a personalized, preventive dentistry program for your child which might include sealants, mineral supplements, changes in nutrition, and frequent check-ups and cleanings.
In addition to our comforting amenities, our team provides the following preventive care benefits:
Are you looking for a new pediatric dentist? Our teeth cleanings are designed to keep your child's smile healthy for life! Call us today to schedule your dental cleaning or preventive care appointment and experience The Kid's Place's fun and caring environment. We can't wait to meet you and your little one!
Schedule AppointmentDr. Michael Wilkerson offers exceptional dental restorations for young patients, using customized treatment solutions and quality materials. A top pediatric dentist office in Boerne, Texas, The Kids Place is a premier dental care provider catering to the smiles of infants, children, and teenagers. Our commitment to offering high-tech solutions ensures both comfort and efficiency for our patients. Whether you require a simple filling or a dental implant, you can expect the fast and comfortable care you deserve.
Color-matched, amalgam-free office
Stainless steel and ceramic crowns
Root canal therapy or pulpotomy
Preserve space for permanent teeth
Beautify with shade-matched materials
Opalescence Take-Home Kits
At The Kids Place in Boerne, Texas, we understand the importance of caring for your child's dental health. From the moment their first tooth grows, it's essential to establish healthy habits and promptly address any potential dental issues. Dental crown installation is one of the most common dental procedures we offer our young patients.
Our stainless steel and prefabricated porcelain/ceramic dental crowns repair damaged or broken teeth that are still otherwise healthy. The crown provides protection and stability by fitting over the original tooth. The dental crown procedure can also be employed for chipped tooth repair, restoring your smile to its optimal condition.
A dental crown is a tooth-shaped cap that covers a prepared tooth to repair damage. It's designed to replace the tooth's entire external portion, and at The Kids Place, we offer stainless steel and prefabricated porcelain/ceramic dental crowns.
These can be custom-shaped and custom-shaded to blend seamlessly with the rest of your child's teeth. They're used in multiple dental procedures and oral appliances, primarily for aesthetic purposes on permanent teeth. However, stainless steel crowns are silver in color and are used primarily for temporary tooth repair.
Infants and toddlers often require pre-veneered stainless steel or plastic dental crowns to cover their damaged teeth. Removing a baby's tooth is not in the child's best interests when severely decayed or damaged. While the adult teeth will eventually replace the lost baby tooth, losing it too early can affect the teeth below it. A stainless-steel crown can be placed over the tooth after removing the decay and preparing the tooth stud correctly. Being a baby tooth, it will fall out on its own eventually, but placing the stainless-steel crown will maintain normal chewing and speech functions while waiting for the tooth to fall out.
In most cases, a dental crown can be an excellent option to restore a badly damaged or decayed tooth's form and function to the tooth while saving the root. Crowns are used in multiple dental procedures and appliances to replace damaged or lost teeth, and systems such as root canals or implants require crowns. Crowns are also used for repairing one tooth or as part of bridges or dentures.
At The Kids Place, Dr. Wilkerson will walk you through determining whether a stainless steel dental crown is the right choice for your child. Before installation, we'll comprehensively assess your child's dentition and discuss all available options, including the benefits and any risks or drawbacks associated with the procedure.
We understand that many children can feel nervous or anxious about dental procedures. That's why, at The Kids Place, we prioritize gently ensuring your child is as comfortable as possible. Dr. Wilkerson and his skilled dental professionals use various advanced technologies and equipment to ensure the procedure is as gentle and painless as possible. From the moment you walk through the doors of our Boerne, TX dentist office, we focus on providing your child feels at ease and in control of their dental care.
At The Kids Place, it's essential to provide quality dental care to all children, no matter their budget. The total cost of a dental crown can vary from patient to patient, depending on various factors, such as the type of dental crown and the materials your child chooses.
Rest assured, we will provide a detailed breakdown of all the costs associated with the procedure before their treatment begins.
Say goodbye to unattractive metal fillings. Dr. Wilkerson employs state-of-the-art dental filling materials that are color-matched to blend seamlessly with your natural teeth. With these tooth-colored fillings, no one can tell you have ever had a cavity or undergone a dental restoration. Moreover, The Kids Place takes pride in being an amalgam-free dental office, ensuring you receive treatment with the safest possible materials.
For children experiencing severe tooth damage or decay, our pediatric dental team may recommend gentle endodontic treatment such as root canal therapy or a pulpotomy. These treatments are performed to ease pain, prevent disease and restore your child's healthy smile!
Endodontic treatment is typically used to address infection or inflammation that has been caused by a deep cavity or injury to the tooth. To treat a child's permanent tooth, our Kids Place dentist may recommend root canal therapy. For your child's root canal treatment, their affected tooth will be numbed, allowing our dentist to carefully remove any infected pulp before resealing the tooth.
Endodontic therapy may also be performed on a baby tooth, with treatments like a pulpotomy to remove decay and affected pulp from the tooth, while leaving the tooth's healthy root intact. After your child's tooth has been treated with endodontic therapy, Dr. Wilkerson will cover and seal the tooth with a protective new filling or dental crown to complete their tooth restoration!
Utilizing the power of dental bonding, we can beautify and strengthen missing parts of a tooth. Our expertly shade-matched, tooth-colored materials, similar to white fillings, enable us to cover chips or gaps in the teeth effectively. Moreover, the procedures often do not require numbing or adjusting the tooth, making the experience even more comfortable for many patients.
Schedule Your Child's Restorative Dentistry Appointment
At The Kids Place, we provide top-tier oral healthcare for infants, children and teenagers. Call us today to take the first step toward your child's optimal dental health, and schedule their restorative dentistry consultation today!
At The Kids Place, we understand the importance of confidence in a child's smile. Discolored, misshapen, or crowded teeth don't have to get in the way of their self-confidence โ Dr. Michael Wilkerson offers gentle, caring pediatric dentistry in Boerne, Texas, including esthetic treatments to boost the health and appearance of smiles for kids and teens.
Tooth-colored crowns for a natural look
Take-home kits for brighter smiles
Non-invasive cosmetic improvements
When your child's teeth need repair from damage, breakage, or decay, our team can restore the function and appearance of the affected teeth with esthetic, tooth-colored dental crowns. Dental crowns are tooth-shaped caps that fit over teeth that have been badly damaged or decayed. If the damage is limited to above the gum line, a crown can be placed over the tooth to restore form and function to the tooth and save the root.
At The Kids Place, crowns are used in multiple dental procedures and appliances to replace damaged or lost teeth, repair a tooth, or to complete procedures like dental implant placement and root canal therapy.
Our white, or tooth-colored crowns, are available for a more aesthetic and natural look compared to metal or stainless steel crowns. The variety of materials available for manufacturing make white crowns much more common and affordable. Advancements in dental technology and materials have also made dental crowns stronger and more natural-looking.
Dental bonding is a non-invasive cosmetic dentistry service that uses a tooth-colored resin to improve the appearance of decayed, damaged, or discolored teeth. The material is applied to the tooth's surface and sculpted to match the natural tooth's shape.
Dental bonding is a quick, affordable solution to improve the smile's appearance, and the results can last several years with proper care. Utilizing the power of dental bonding, we can beautify and strengthen missing parts of a tooth. Our expertly shade-matched, tooth-colored materials, similar to white fillings, enable us to cover chips or gaps in the teeth effectively. Moreover, the procedures often do not require numbing or adjusting the tooth, making the experience even more comfortable for many patients.
The Kids Place offers Opalescenceยฎ Teeth Whitening, a safe and efficient solution for removing stains and discoloration from teeth. It uses a customized tray with a whitening gel made of carbamide peroxide that decomposes into hydrogen peroxide, lifting stains from the surface of teeth. Our team will provide custom-fitted whitening trays and gel refills for consistent results. Thanks to easy take-home kits, you can help your little one whiten their teeth comfortably at home!
Opalescenceยฎ whitening gel is available in varying concentrations โ 10%, 15%, 20%, and 35%. Depending on your goals and specific oral condition, Dr. Wilkerson will recommend the most suitable concentration for each patient.
Ready to help your child reveal their best, brightest smile? Call The Kids Place today to schedule their cosmetic dentistry consultation. Our experienced pediatric dental professionals will assess your child's specific needs and create a personalized treatment plan to help them achieve the desired results.
Schedule ConsultationAre you considering early orthodontic treatment for your child? Our pediatric dentist is highly skilled early orthodontic diagnoses and promoting optimal airway mechanics for young patients. At your child's assessment, Dr. Wilkerson will help design a treatment plan to promote their healthiest smile as they continue to grow!
Is your child or teen ready for a straighter smile? While straighter smiles are a large part of braces and clear aligner therapy, they are not the only reason to undergo orthodontic treatment. The Kids Place in Boerne, TX, offers braces and orthodontic treatment for pediatric patients to address crooked teeth and misaligned smiles, along with issues that may affect chewing, speech, teeth crowding, or impaction.
Specialized interceptive orthodontics
Monitor proper facial development
Evaluate breathing patterns
Identify breathing issues early
Expert evaluation of oral restrictions
Create room for permanent teeth
An orthodontic examination should be done for each child by the age of 7, unless obvious problems become apparent early on. By discovering potential problems earlier and starting treatment, future extractions of permanent teeth may be avoided and treatment may actually take less time and expense.
If your child or teen is ready to learn more about orthodontic treatment for a straighter, healthier smile, call Dr. Wilkerson to schedule a consultation and get the answers you need!
Traditional metal braces are still the most common treatment for orthodontic patients of all ages โ they are recommended if you have crooked teeth, crowded teeth, jaw problems, or a misaligned bite. Modern metal braces with modern advancements have become flatter and more minor, providing a much more comfortable orthodontic experience.
Not only that, but you also have the option to customize the brackets and bands with colors that reflect your team spirit. Show off your style and personality with every smile!
Once you've completed your dental braces treatment, Dr. Wilkerson will make recommendations for maintaining your smile results, including a custom-fitted retainer. If your retainer has become lost or damaged, call us for a speedy replacement!
Interceptive orthodontics is an early intervention for growing children. Children from first to third grade are prime candidates for early orthodontic intervention, as the face rapidly grows during this time. With this method, specialists coordinate care with other medical specialists to help direct facial growth and improve the overall health and function of the mouth.
Orthodontic arch development can often make room for permanent teeth, thus eliminating extensive treatment times. Dental crowding is addressed early when the face has significant growth potential. The correct mode of breathing (through the nose) is related to dental crowding, and more mouth breathing will result in more dental crowding.
Interceptive orthodontic treatment provides multiple benefits, including reducing the need for extensive treatment later, improving breathing, improving facial growth, improving dental arch development, and avoiding the loss of permanent teeth while giving your child a fantastic confidence-boosting smile.
Early interceptive orthodontic treatment is intended for the growing child at a much younger age than for traditional braces. The old adage of waiting until all the baby teeth fall out is no longer valid. Better results can often be attained by addressing early crowding and monitoring facial growth โ waiting for all the baby teeth to be lost may not be the best option for your child.
That's why we offer early orthodontic interceptive treatment right here at our pediatric dentist's office in Boerne, TX, particularly during the first few years of life (birth to age 4).
If you are concerned about the way your child's teeth are coming in, we can help. If your child is self-conscious about smiling, having braces can greatly improve the way he or she looks and feels.
When treatment is complete, your child will have an amazing, healthy smile, as well as the confidence to show it off! We want you and your child to feel comfortable and confident throughout the entire orthodontic experience, so our practice is dedicated to making sure that your child receives the quality care they deserve.
It is recommended by the American Orthodontic Association that children should be evaluated by age 7. This makes early childhood the prime period for monitoring proper facial growth and development, as rapid growth of the face and jaws occur during this time period.
Problems that alter normal facial and jaw growth need to be identified early and treated so your child will have a great smile and a more beautiful face when they are older. By the time traditional braces are placed when permanent teeth are in, the face has limited growth into adulthood, leaving fewer options for treatment when there is more severe crowding, often leading to loss of pristine permanent teeth to make room or prolonged treatment times.
Bones and teeth in younger children have a more rapid response to treatment โ early interceptive orthodontic treatment can sometimes eliminate a future need for traditional braces!
Orthodontic appliances are made to move teeth into better positions for health, proper function, and a beautiful smile. They may be removable or they may be brackets bonded to the teeth. By placing a constant, gentle force in a carefully controlled direction, braces slowly move teeth to the proper position.
Gone are the days when a metal band with a bracket was placed around each tooth. Orthodontic patients can have brackets that are bonded directly to the teeth. Wires are far less noticeable, and the latest materials are designed to move teeth faster with more comfort.
At The Kids Place, the treatment length for early orthodontic care will depend on several factors, including age, treatment method, and the severity of the case. Treatment time varies and can last between one and three years. Receiving interceptive, or early orthodontic treatment, can also help provide a quicker treatment time later on in life.
Another big factor to a successful treatment is your child's cooperation. The more involved and diligent your child is, the quicker and more efficient treatment will be.
Before beginning your child's orthodontic care, our skilled pediatric dentist will discuss all of your child's options and provide an estimate for how long full treatment will take. Contact our practice today to schedule an appointment and learn more about orthodontics and the treatments we provide.
Children with moderate to severe dental crowding will benefit from interceptive or early orthodontic treatment. Parents typically notice crowding when the lower front permanent teeth first appear around age 6 years. At The Kids Place, our pediatric dental team will evaluate patients' smiles early on, when permanent teeth should be coming in, if they are crowded, when they are delayed, and when they are coming in out of position.
By recognizing and addressing orthodontic concerns early, we can often eliminate future extractions of permanent teeth, improve overall health and function of the mouth, and help give your child a beautiful smile.
Orthopedic arch development can often make room for the permanent teeth eliminating extensive treatment times later, and will reduce or eliminate the removal of permanent teeth that so often occurs when children undergo orthodontic treatment at a later age. In addition, arch development can improve your child's ability to breath, and breath through the nose. Nasal breathing is the key to a well balanced face.
Although not every child will require this type of early treatment, it is important to have them screened by a knowledgeable dentist at an early age. You don't want to miss an opportunity that would benefit your child, their face, or their smile!
Our orthodontic services for straight teeth and optimal oral function may require treatment to guide the eruption of teeth. At The Kids Place, guidance of eruption is used to align teeth as they emerge from the gums. Encouraging the adult teeth to align naturally eliminates the need for mechanical movement of the teeth with braces and other oral appliances.
Pre-eruption guidance provides more stability for teeth. When teeth are guided into place naturally, the adult collagenous fibers provide stronger support for the teeth.
Different dental appliances are used to provide better spacing of the primary anterior teeth or to expand the arches to allow more space for teeth to come through the gums in the correct position. The appliance is typically worn at night so as not to interrupt regular daily activities, leading the permanent incisors into the correct positions to allow proper lateral spacing of the primary anterior teeth.
Once the incisors' positions are correct, the remaining adult teeth can come through with adequate space.
In the traditional model of orthodontic care, braces are delivered after all or at least most of the permanent teeth are in the mouth. Thus, most kids get braces in their late childhood or early teen years. At this age the majority of facial growth (90%) has occurred and options to deal with crowded teeth have become more limited. Dental crowding, on the other hand, starts early with the eruption of the first permanent teeth around age 6 years.
Waiting years for treatment can lead to compromise in facial growth and esthetics, compromise in health, loss of permanent teeth, or even more extensive and expensive treatments. At The Kids Place, we focus on treating dental crowding early, when the face has a larger growth potential.
Gently guiding your child's dental arches back to normal dimensions will allow room for the permanent teeth to come in uncrowded, assist in correct muscle and tongue function, and even improve nasal breathing.
Orthodontic treatment for kids and teens can help ensure their healthiest smiles as they continue to grow. Call our pediatric dental team today to schedule your orthodontic consultation and take the first step towards achieving your child's healthier, straighter smile!
Schedule ConsultationWhen your child needs oral surgery, you want a team you can trust. At The Kid's Place, Dr. Michael Wilkerson provides gentle, compassionate oral surgery services in a comfortable, kid-friendly environment. We understand that the thought of oral surgery can be stressful for both children and parents, which is why we take extra care to ensure your child feels safe and comfortable throughout every procedure.
Our pediatric dental team is specially trained to work with children of all ages, using the latest techniques and technology to minimize discomfort and promote faster healing. We offer multiple sedation options to ensure your child's comfort during any oral surgery procedure.
Help teeth emerge properly and naturally
Gentle removal when medically necessary
Tongue-tie and lip-tie release
Assist impacted teeth in erupting
Gum and tissue procedures
Multiple comfort options for every child
Our orthodontic services for straight teeth and optimal oral function may require treatment to guide the eruption of teeth. At The Kid's Place, guidance of eruption is used to align teeth as they emerge from the gums. Encouraging the adult teeth to align naturally eliminates the need for mechanical movement of the teeth with braces and other oral appliances.
Pre-eruption guidance provides more stability for teeth. When teeth are guided into place naturally, the adult collagenous fibers provide stronger support for the teeth.
Different dental appliances are used to provide better spacing of the primary anterior teeth or to expand the arches to allow more space for teeth to come through the gums in the correct position. The appliance is typically worn at night so as not to interrupt regular daily activities, leading the permanent incisors into the correct positions to allow proper lateral spacing of the primary anterior teeth.
Once the incisors' positions are correct, the remaining adult teeth can come through with adequate space.
While we always strive to save natural teeth whenever possible, sometimes extraction is the best option for your child's overall oral health. Whether due to severe decay, infection, overcrowding, or to make room for orthodontic treatment, Dr. Wilkerson performs gentle extractions with your child's comfort as the top priority.
Our approach to pediatric extractions includes:
For baby teeth, we take special care to preserve the space needed for permanent teeth to come in properly. In some cases, we may recommend a space maintainer to prevent neighboring teeth from shifting into the empty space.
A frenectomy is a simple procedure that can make a significant difference in your child's oral function and development. The frenum is the small fold of tissue that connects the tongue to the floor of the mouth (lingual frenum) or the upper lip to the gums (labial frenum).
When the frenum is too tight or thick, it can cause:
Dr. Wilkerson can perform a gentle frenectomy to release the restricted tissue and improve your child's oral function. The procedure is quick, minimally invasive, and most children heal within just a few days.
There are several situations where your child may benefit from oral surgery at our Boerne pediatric dental office:
Questions about pediatric oral surgery? Dr. Wilkerson and his team are here to help. We'll thoroughly explain any recommended procedure and answer all your questions before treatment begins. Your child's comfort and safety is always our top priority.
Schedule ConsultationDental emergencies can happen at any time, and when they do, you need a trusted pediatric dentist who can provide prompt, gentle care. At The Kid's Place, we prioritize same-day or next-day emergency appointments because we understand that a child in pain needs immediate attention.
Whether your child has a toothache, a knocked-out tooth, or a dental injury from sports or play, our experienced team is ready to help. We offer compassionate emergency dental care designed specifically for children, with multiple sedation options available to ensure your child's comfort.
Does your child need emergency dental care? Contact us right away!
Immediate attention when your child needs it most
Quick action can save your child's tooth
Chips, cracks, breaks & sports injuries
Relief from dental pain and infection
Text Only: (432) 413-4357
Easy to find with ample parking
We understand that dental emergencies can be frightening for children (and parents!). That's why our team takes extra care to create a calm, reassuring environment. Our kid-friendly office, gentle approach, and pain-free technology help turn a stressful situation into a positive experience.
Dr. Wilkerson and his team are specially trained to work with anxious children, using age-appropriate language and distraction techniques to help your child feel safe and comfortable during emergency treatment.
Toothaches in children can be caused by cavities, infections, erupting teeth, or trauma. Our emergency exams include a thorough consultation and digital X-rays to diagnose the root cause of your child's tooth pain. Once we identify the problem, we'll recommend the most appropriate treatment to relieve your child's discomfort quickly and effectively.
What to do: Give your child over-the-counter children's pain reliever, apply a cold compress to the outside of the cheek, and call us right away.
A knocked-out permanent tooth is a dental emergency that requires immediate action. Time is critical โ the sooner you get to our office, the better the chance of saving the tooth. For a broken or chipped tooth, we'll assess the damage and recommend appropriate treatment, which may include bonding, a crown, or other restoration.
What to do for a knocked-out tooth: Handle the tooth by the crown (not the root), gently rinse it with water, try to place it back in the socket or store it in milk, and get to our office immediately.
If your child's filling or crown breaks, cracks, or falls out, it's important to have it repaired promptly to prevent further damage or infection. We'll assess the situation and either repair or replace the restoration to protect your child's tooth.
What to do: If possible, save the crown or filling piece. Avoid chewing on that side and contact us to schedule a repair appointment.
A dental abscess is a serious infection that can cause severe pain, swelling, and fever. Left untreated, the infection can spread to other parts of the body. Dr. Wilkerson will assess the infection and recommend appropriate treatment, which may include antibiotics, drainage, root canal treatment (pulpotomy), or extraction if necessary.
Warning signs: Severe throbbing pain, swelling in the face or gums, fever, bad taste in the mouth, or difficulty swallowing or breathing (seek immediate medical attention).
Active kids are more prone to dental injuries, especially during sports and recreational activities. Common sports-related dental emergencies include knocked-out teeth, broken teeth, lip and tongue injuries, and jaw injuries.
Prevention is key! We strongly recommend that all children who participate in sports wear a properly fitted mouthguard. Ask us about custom athletic mouthguards that provide superior protection and comfort compared to store-bought options.
If your child experiences a dental injury during sports, stay calm, address any bleeding with gentle pressure, and contact our office immediately.
When you arrive for an emergency appointment at The Kid's Place, here's what you can expect:
Dental Emergency? Don't wait โ contact us immediately! We offer same-day emergency appointments for children in pain.
Call: (830) 239-5411 | Text Only: (432) 413-4357
Schedule Emergency VisitAt The Kid's Place, we understand that some children experience anxiety about dental visits, while others may need extensive treatment that's difficult to complete while they're awake. That's why we offer multiple levels of sedation dentistry to ensure every child can receive the dental care they need in a comfortable, stress-free environment.
Dr. Wilkerson has over 30 years of experience providing safe, effective sedation for pediatric dental patients. We carefully evaluate each child's needs and medical history to recommend the most appropriate sedation option. Your child's comfort and safety is always our top priority.
Laughing gas for mild anxiety relief
Medication for moderate relaxation
Full sedation with our visiting anesthesia team
DentalHiTech for pain-free numbing
Positive visits for every child
Trusted pediatric dental care
Sedation dentistry isn't just for anxious children โ it can benefit patients in many situations:
Nitrous oxide, commonly known as "laughing gas," is the mildest form of sedation we offer. It's a safe, effective option for children with mild to moderate dental anxiety.
How it works: Your child breathes in a mixture of nitrous oxide and oxygen through a small mask placed over their nose. Within minutes, they'll feel relaxed and happy โ some children even get the giggles! They remain awake and can communicate throughout the procedure.
Benefits of nitrous oxide:
For children with moderate anxiety or those who need more extensive dental work, oral conscious sedation provides a deeper level of relaxation. Your child takes a prescribed sedative medication before their appointment, which helps them feel drowsy and relaxed.
How it works: We'll provide detailed instructions before your appointment. Your child will take the medication at home or in our office, depending on the type of sedation used. They'll remain conscious but very relaxed โ many children become so comfortable they don't remember much of the procedure afterward.
What to expect:
For children who require extensive dental treatment, have severe anxiety, or have special needs that make traditional dental care challenging, we offer in-house general anesthesia. This allows your child to sleep comfortably through their entire dental treatment.
How it works: A board-certified anesthesiologist or nurse anesthetist from our visiting anesthesia team administers and monitors the anesthesia in our office. This eliminates the need for hospital visits and allows your child to receive all necessary treatment in one comfortable appointment.
Benefits of in-house general anesthesia:
In addition to our sedation options, we use DentalHiTech painless electronic anesthesia for virtually pain-free numbing. This revolutionary technology delivers anesthesia so gently that most children don't even realize they've received an injection!
The computer-controlled system delivers numbing medication at a slow, steady rate, eliminating the pressure and discomfort associated with traditional dental injections. Combined with our sedation options, this ensures your child experiences the most comfortable dental visit possible.
At The Kid's Place, safety is paramount. Here's how we ensure safe sedation for every patient:
Dr. Wilkerson follows all safety guidelines established by the American Academy of Pediatric Dentistry (AAPD) and is certified in pediatric sedation techniques.
Is sedation dentistry right for your child? Schedule a consultation with Dr. Wilkerson to discuss your child's needs and determine the best approach for their dental care. We're here to help every child have a positive, anxiety-free dental experience!
Schedule ConsultationClick on any team member to learn more about them! ๐
Pediatric Dentist, DDS, MS
Hygienist / Office Manager
Dental Assistant
Dental Assistant
Scheduling Coordinator
Appointment Coordinator
See what makes us special
What to expect when you join The Kid's Place family
We encourage parents to attend dental visits with their children to meet Dr. Wilkerson and his dedicated and knowledgeable staff. During your child's first visit to our pediatric dentistry in Boerne, TX, our team will review their dental and medical history forms, and take x-rays of their teeth and mouth.
Dr. Wilkerson will then meet with you and your child to discuss the findings of their x-rays, help create an individualized dental treatment plan, and answer any questions that you may have. Most appointments last between 20 and 40 minutes.
The Kid's Place is committed to providing you and your family with safe, gentle, high-quality dental care. We understand that your child may feel anxious about visiting the dentist. We are sensitive to children's needs and it is our goal to make your child feel comfortable visiting our practice while providing the best care possible.
Because your time is valuable, our new patient forms including insurance information, health history, HIPPA forms, and others, can be filled out online at your convenience prior to your child's appointment. Our friendly team will provide you with the forms you will need when you schedule your visit. We're happy to make every part of your dental care and appointment registration easy and convenient!
Walk in and be greeted by our super friendly team! Check out our arcade games, grab a seat in our massage chairs, and get ready for adventure!
Our superhero dentist makes checkups fun! He'll count your teeth, check your smile, and answer all your questions. No scary stuff here!
Our hygienists are cleaning experts! They'll make your teeth super sparkly with yummy flavored polish. Pick your favorite flavor!
You did AMAZING! Now it's time for the best part - pick a prize from our treasure chest AND grab a FREE slushie on your way out!
Test your dental knowledge while you wait! Compete for a spot on the leaderboard and learn fun facts about teeth!
Join thousands of happy kids who actually LOVE coming to the dentist!
Book Your First Visit!Don't just take our word for it!
"Dr Wilkerson and his staff are absolutely amazing! Our son had to have a procedure done and we were all quite anxious about it. The staff went above and beyond to make us feel comfortable, prepared, and well taken care of. Our son even says it was a great day. We live an hour away but will gladly continue to make the drive!"
โ Google Review"Best dentist my boys have experienced. Very friendly, gentle, and lots of focus on the kids with prizes, etc."
โ Google Review"We love this dentist office! Dr. Wilkerson is very knowledgeable and takes his time with both the kids and parents."
โ Google ReviewLove your experience? We'd love to hear from you!
Leave Us a ReviewQuality care that fits your budget
Most PPO plans accepted
Our in-house membership savings
0% APR payment plans
All major cards accepted
Our 12-Month Membership Savings Plan
No insurance? No problem! Our membership plan makes quality pediatric dental care affordable for every family.
PLUS: 20% OFF all treatments (excludes orthodontics)
Contact us for pricing information!
Learn More & Sign UpCherry Payment Plans make it easy for you to afford the care you need. Spread your payments over 3 to 60 months, with options as low as 0% APR for qualified applicants, so you can focus on your child's health without financial stress.
We can't wait to meet your family!
Schedule your child's appointment online in just a few clicks!
Book Appointment OnlineMon-Thu: 8am - 5pm
Friday: 8am - 1pm
We love being part of the Boerne community!
The Kid's Place loves participating in "Brighten Up Boerne" each year. This is where Boerne's Parks and Rec invite local residents/businesses to take a plain old, boring trashcan and transform it into a work of art.
Each year a new theme is picked, and these beautiful trash cans are displayed throughout the city's local parks to help "Brighten Up Boerne". Dr. Wilkerson and the office love the creative outlet and theme challenges. So far, we have been part of the "Save the Monarchs" and "Out of this World" themes. We can't wait to see what next year holds for us!
Every year Boerne holds two different Diva Nights โ one in the Spring and one in the Fall. These are fun nights of shopping, drinking, dining, and supporting local businesses.
Everyone brings their best gal pals and shop the night away with the shops' extended hours. The Kid's Place likes to set up a booth at our favorite boutique (The Pearl Antler) and hand out super cute swag to the ladies of Boerne. Fun is had by all that attend!
During the Summer, The Kid's Place likes to sponsor a "Movies in the Park" event. These are free, family-friendly screenings that are hosted by Boerne's Parks & Rec.
The movies start at sundown but the fun starts well beforehand with things like bouncy castles, food vendors, and goodies. We love seeing the community come together for these outdoor films.
Boerne Boo! is a Fall festival hosted each year by the City of Boerne. The Kid's Place loves setting up a table with our giant inflatable pig for this free, family-friendly event.
You can find arts and crafts, bounce houses, carnival games, food trucks, music, and lots of candy! The kids love taking photos with their dentist and our pig!
Your trusted pediatric dentist for families throughout the region
The Kid's Place Pediatric Dentistry is proud to provide exceptional children's dental care to families throughout Boerne, Texas and the surrounding Texas Hill Country communities. Dr. Michael K. Wilkerson and our dedicated team welcome patients from:
Our home base on S Main Street
Just minutes away
Comal County families
Serving Kendall County
Hill Country families welcome
Kerr County patients
North San Antonio area
Northwest San Antonio
North of San Antonio
Looking for a pediatric dentist near me in the Boerne area? We're conveniently located at 1101 S Main Street, Boerne, TX 78006, with easy access from I-10 and plenty of parking.
Schedule Your Child's Visit Today